Стоматология в Рязани – официальный сайт стоматологической клиники
Стоматология — это сфера медицины, где опыт врача и технологическая оснащенность определяют долговечность результата. Если вам необходима в Рязани стоматология, обеспечивающая высокие стандарты качества, клиника Витастом предлагает комплексный подход к здоровью полости рта. Наш стоматологический центр объединяет в себе передовые методы диагностики и лечения, позволяя пациентам восстанавливать эстетику улыбки в комфортных условиях. Для удобства жителей в Рязани официальный сайт стоматологии содержит актуальный прейскурант, информацию о квалификации специалистов и возможность быстро записаться на прием. Наш центр стоматологии ориентирован на достижение предсказуемого результата, будь то плановая гигиена или сложная стоматология имплантология.
Современные стандарты и возможности клиники Витастом
Сегодня стоматологические клиники в Рязани предлагают различные условия, однако клиника Витастом выделяется двадцатилетним опытом успешной практики. Наш Рязанский стоматологический центр делает ставку на профессионализм: здесь работают только стоматологи с высшим медицинским образованием, что гарантирует экспертный уровень манипуляций. Изучая в Рязани сайт стоматологии Витастом, вы заметите, что мы открыто делимся результатами работ и подробным описанием протоколов лечения. Такая прозрачность помогает пациентам, которым требуется надежная клиника стоматологии, принять взвешенное решение.
Популярные поисковые запросы, такие как «стоматология Рязань официальный, поликлиника стоматология, стоматология поликлиники Рязань, клиника стоматология Рязань, больница стоматология, стоматология Рязань записаться», подтверждают высокий интерес горожан к качественной медицинской помощи, и клиника Витастом полностью соответствует этим ожиданиям. Чтобы в Рязани записаться на прием к врачу, вам не нужно тратить время на ожидание — электронная форма связи работает круглосуточно.
Основные направления работы клиники
Наша стоматологическая клиника предоставляет полный спектр услуг для взрослых пациентов. В штате отсутствуют зубные врачи (средний медперсонал), прием ведут исключительно стоматологи, специализирующиеся на конкретных областях медицины:
-
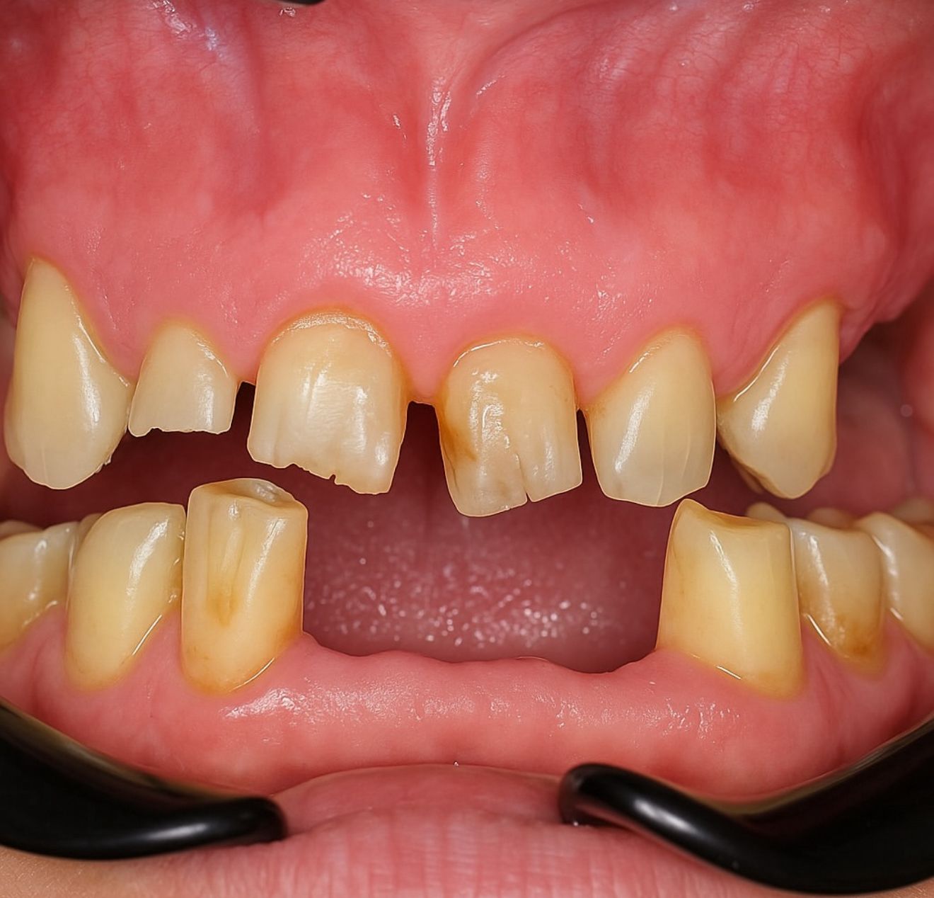
в стоматологии лечение кариеса, пульпита и периодонтита с использованием современных композитов;
-
ортопедическая стоматология, включающая установку съемных протезов и коронок;
-
в стоматологии удаление зубов любой сложности при невозможности их сохранения;
-
профессиональная гигиена и профилактика воспалительных процессов.
Если вы ищете, где доступна качественная в Рязани зубная стоматология, обратите внимание на наши хирургические возможности. Стоматология имплантология в клинике Витастом — это установка систем «под ключ», что исключает скрытые доплаты. Мы понимаем, как важно найти стоматологию рядом со мной, которая предложит не только удобное расположение, но и долгосрочные гарантии на выполненную работу.
Почему стоит записаться к стоматологу в Витастом
Пациенты, которым важна современная стоматология Рязанской области, выбирают ВитаСтом за четкую организацию приемов и отсутствие задержек у кабинета. Если вам нужно в Рязани записаться к стоматологу, мы предложим удобное время в будние или выходные дни. Часто пациенты выбирают нас, изучив в Рязани отзывы стоматологии, где отмечают внимательное отношение врачей и отсутствие навязанных услуг.
Преимущества обращения к нам:
-
Честное и прозрачное ценообразование в ВитаСтом исключает любые маркетинговые уловки и скрытые платежи.
-
Мы придерживаемся политики открытых цен, поэтому пациент всегда знает точную стоимость лечения еще до начала всех манипуляций.
-
Прямое и понятное формирование стоимости услуг позволяет нам выстраивать доверительные отношения с каждым пациентом без лишних финансовых сложностей.
Как быстро записаться на прием в поликлинику Витастом
Многие стоматологии города Рязани имеют сложные системы регистрации, но в клинике Витастом процесс максимально упрощен. Чтобы записаться к стоматологу, достаточно оставить заявку на странице или позвонить по указанным телефонам. Важно помнить, что своевременное посещение врача предотвращает развитие серьезных патологий. Даже если вас ничего не беспокоит, профилактический визит раз в полгода — это стандарт, который поддерживают все ведущие стоматологии г Рязани.
При необходимости провести восстановление утраченных зубов, наша ортопедическая стоматология предложит современные съемные конструкции, которые вернут радость жизни и уверенность в себе. Мы ценим личное время наших пациентов, поэтому организовали процесс так, чтобы записаться на прием в поликлинику Витастом можно было без лишних временных затрат.
Выбирая среди множества стоматологических клиник в Рязани, стоит отдать предпочтение опытным специалистам. Клиника Витастом — это экспертный стоматологический центр, где за ваш комфорт и итоговый результат отвечает лечащий врач, курирующий весь процесс преображения от первой консультации. Наш адрес: ул. 7-я Линия, д. 7. Мы работаем для того, чтобы качественная в Рязани стоматология была доступна каждому, кто ценит свое здоровье.
Чтобы записаться на прием, воспользуйтесь формой на этом портале. Помните, что в Рязани официальный сайт стоматологии Витастом — самый достоверный источник информации о графике работы и стоимости услуг. Мы будем рады видеть вас в числе наших постоянных пациентов и сделаем все, чтобы ваша улыбка была безупречной.






